Στη Θεσσαλονίκη μια ομάδα από Ιατρούς - Ακτινολόγους και Τεχνολόγους – Ακτινολόγους με γνώμονα την κατ' οίκον εξυπηρέτηση των ασθενών ξεκίνησε ένα φιλόδοξο και πρωτοποριακό σχέδιο κινητής ακτινολογικής μονάδας παρέχοντας υπηρεσίες εφάμιλλες με ένα σταθερό ακτινολογικό εργαστήριο στο φιλόξενο και οικείο περιβάλλον του ασθενούς, κατ' οίκον ή στο κέντρο φιλοξενίας του (γηροκομεία, κλινικές, κέντρα αποκατάστασης).
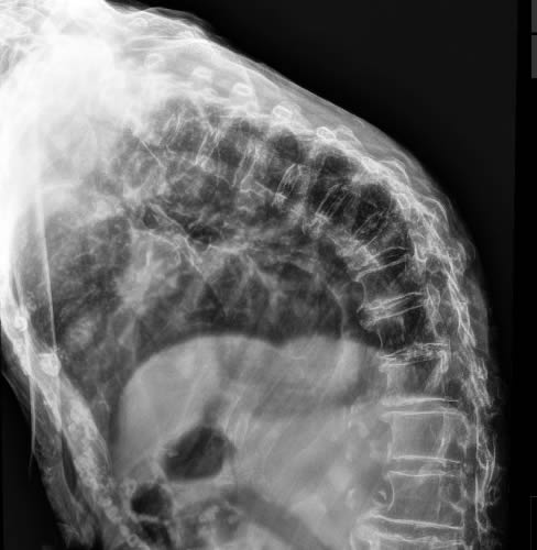
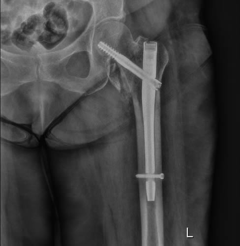
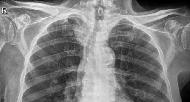
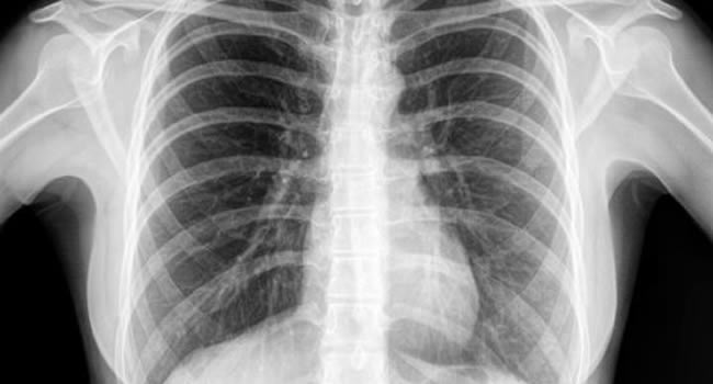
Οι ακτινογραφίες πραγματοποιούνται με πλήρως ψηφιακό εξοπλισμό και όχι ψηφιοποιημενο από έμπειρους Τεχνολόγους – Ακτινολόγους με άδεια ασκήσεως Επαγγέλματος.
Η κινητή μονάδα λειτουργεί με άδεια σκοπιμότητας από την περιφέρεια, άδεια λειτουργίας και πιστοποίηση από την Ελληνική Επιτροπή Ατομικής Ενέργειας.
Εξοπλισμος
Ο πιο σύγχρονος φορητός Ακτινολογικός εξοπλισμός πλήρως ψηφιακής απεικόνισης (DR) σε μια κινητή ακτινολογική μονάδα, μπορεί να επισκεφθεί τον ασθενή οπουδήποτε στην περιοχή της Θεσσαλονίκης και των περιχώρων και να σταλεί, αν ο ασθενής το επιθυμεί, η γνωματευμένη ακτινογραφία ηλεκτρονικά μέσω διαδικτύου στον θεράποντα- παραπέμποντα ιατρό ο οποίος θα λάβει το αποτέλεσμα στο προσωπικό του υπολογιστή, tablet, Smartphone οπουδήποτε κι αν βρίσκεται.
Ο ασθενής που δεν πρέπει ή δε μπορεί να μετακινηθεί, από τον χώρο του, επωφελείται από υπηρεσίες ίδιες με αυτές που προσφέρονται σε ένα σταθερό ακτινολογικό εργαστήριο ελαχιστοποιώντας το κόστος αφού δεν επιβαρύνονται με έξοδα μετακίνησης.
Άμεση παράδοση της ακτινογραφίας και της γνωμάτευσης λίγα λεπτά μετά την άφιξη της ακτινολογικής μονάδας. Δυνατότητα επανάληψης της ακτινογραφίας για την παραγωγή του βέλτιστου αποτελέσματος, εξαιτίας της ψηφιακής αυτόματης εμφάνισης της ακτινογραφίας που γίνεται στην οικία του ασθενούς
Υπάρχει η δυνατότητα και για συγχρονισμένα ραντεβού με τον θεράποντα ιατρό ώστε η ακτινογραφία να είναι διαθέσιμη κατά τη διάρκεια της ιατρικής επίσκεψης με άμεση γνωμάτευση.
Με ένα τηλέφωνο θα βρίσκεται στο σπίτι σας ή στο κέντρο φιλοξενίας σας Τεχνολόγος – Ακτινολόγος με μία από τις πιο σύγχρονες κινητές ακτινολογικές μονάδες ψηφιακής απεικόνισης.
Μπορείτε να επικοινωνήσετε μαζί μας 24 ώρες στα τηλέφωνα